
Une fois le plan de traitement établi, la demande d'entente préalable envoyée et le délai de 15 jours passé , le traitement peut commencer.
Un rendez-vous de pose est programmé.
Les rendez-vous d'activation peuvent être espacés de 4 à 6 semaines en moyenne.
A chaque rendez-vous, un contrôle du bon déroulement du traitement et une activation de l'appareil sont effectués.
Pour mener à bien son traitement, l’orthodontiste pourra demander la collaboration d’autres professionnels de santé : pédiatres, médecins spécialistes ORL, Chirurgiens maxillo-faciaux, chirurgiens-dentistes, médecins stomatologistes, orthophonistes, kinésithérapeutes…
La durée du traitement varie en fonction de la malocclusion d'origine et des objectifs fixés.
Les appareils les plus utilisés sont :
Traitement actifs
Les appareils amovibles, que le patient peut retirer. Les appareils ont divers ressorts et vérins, positionneurs.
Les appareils fixes (appareils multiattaches communément appelés bagues) que le patient ne peut pas retirer. Ils sont constitués de boîtiers ou verrous collés ou scellés sur les dents, reliés par des fils métalliques dont l’alliage, la section, la forme sont déterminés par les différentes étapes du traitement. Ils peuvent être collées en externe ou en interne.
les attaches ou boitiers métalliques externes,
les attaches ou boitiers esthétiques en céramiques (moins visibles) externes
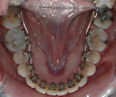
les appareils utilisés en technique linguale (totalement invisibles). Les techniques linguales offrent la possibilité d’un appareil orthodontique efficace et totalement invisible.
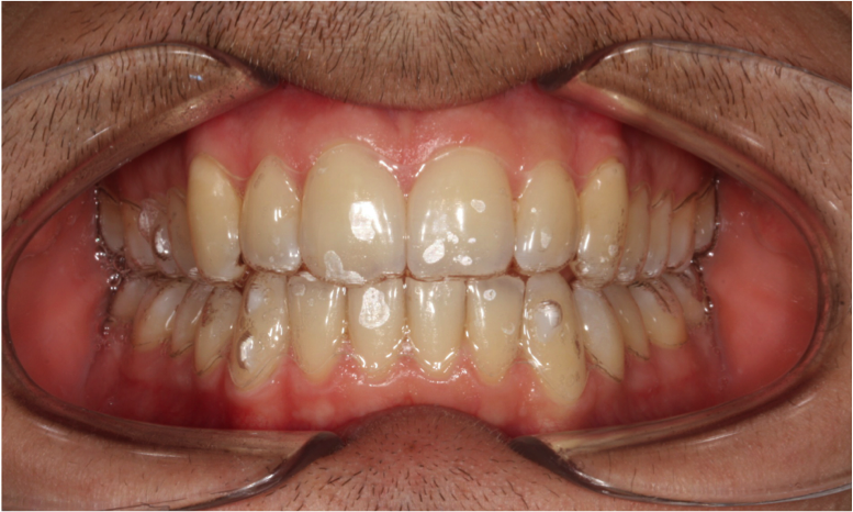
Les gouttières thermoformées type Invisalign® ou Essix®
Les traitements complémentaires: extractions dentaires, chirurgie buccale ou maxillo-faciale, traitements médicaux, adéoïdectomie ou amygdalectomie (Ablation des végétations ou des amygdales), mini vis, orthophonie.





La contention
Cette période correspond à la conservation du résultat obtenu, l'orthodontiste demande au patient de porter un appareil de nuit ou colle un fin fil sur l'arrière des dents pendant une durée plus ou moins longue en fonction de la tendance à la récidive (tendance au retour à l’état antérieur) qui est très variable selon les personnes et les malformations. Cette phase est trop souvent négligée par les patients qui est pourtant essentielle pour la pérennité du résultat. Le vieillissement de la denture s’accompagnant quelquefois de modifications de la position des dents, le patient doit rester vigilant et ne pas omettre les visites annuelles de contrôle chez son praticien traitant.

